ПО-СУЩЕСТВУ ЗАЯВЛЕННОЙ ТЕМЫ, ИЛИ ИНВАЛИДНОСТЬ – НЕ ПРИГОВОР
Как меня достали «выпады» в мою сторону по типу того, что перенёсший инсульты инвалид, занимается в тренажёрном зале, да ещё умудряется тренировать и других.
Как меня достали «выпады» в мою сторону по типу того, что перенёсший инсульты инвалид, занимается в тренажёрном зале, да ещё умудряется тренировать и других.
Постараюсь в этой статье ответить всем таким злопыхателям. Кстати, один такой злопыхатель дошёл даже в своей, брызжущей по сторонам желчи негодования, до того, что непонятно кого призвал проверить меня на инвалидность. Я знаю, кто это тогда писал, и кто скрывался за придуманным именем ВКонтакте, но сознательно умолчу, дабы не подвергать психику этого человечка реальному и полному «случайному» разрушению.
Да, я инвалид второй группы. Это подтверждено соответствующим заключением. Про перенёсшие инсульты (три штучки в кучке) промолчу, так как это было в моих постах в соцсети ВКонтакте ранее. Повторяться не вижу смысла.
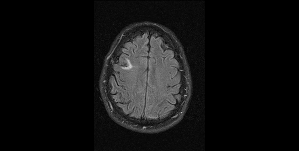
забавнаякартинка из МРТ головного мозга от 13.01.2023 г.
А теперь по существу заявленной темы.
Мне 52 года. В пауэрлифтинге я почти 30 лет. Это такой стаж, при котором даже при большом желании и массе противопоказаний бросить этот вид спорта почти невозможно. Тренажёрный зал – это как вторая жизнь. Это то место, куда тянет, не взирая ни на что. Простым обывателям этого никогда не понять. «Больные же на голову» спортсмены-пауэрлифтеры поймут меня – им это обострённое чувство любви к тренажёрному залу совсем не чуждо. И если бы не тренажёрный зал, то неизвестно, в каком реальном физическом состоянии я бы сейчас находился. Может быть, кровать да инвалидная коляска были бы моими «верными и неразлучными друзьями». Как сказать…
Имея на данный момент вторую группу инвалидности, я абсолютно не унываю и не переживаю из-за этого. Что есть, то есть. Что случилось, то случилось. Более того, как это не покажется странным, я извлекаю из этого своего состояния особую пользу. Так сказать, нарабатываю практический опыт борьбы с постинсультными состояниями своего организма. А уж как с этим бороться, я знаю не понаслышке.
Я уяснил лишь одно, что, имея всего лишь жёсткую силу воли, можно пройти через очень многое и, в частности, реально минимизировать пагубные последствия инсультов. Главное, не расслабляться, не раскисать, и, тем более, ни в коем случае не жалеть себя, а работать над собой ежедневно, ежечасно и ежеминутно. Секрет выхода из постинсультных состояний элементарно прост – это почти ежедневная работа над собой и в, частности, в тренажёрном зале.
Не являясь приверженцем официальной медицины, я постоянно ставлю на себе эксперименты. Мне интересно, а что будет, если я сделаю, например, это или это? Как отработают на новые раздражители нейроны мозга? Какую команду дадут определённым частям тела? Как отреагирует на все новшества сам организм? Пошлёт ли меня подальше или скажет: «Хозяин, а ты не припух? Чё ещё придумаешь?», но подчинится и выполнит всё, что я задумал. Одним словом, своими экспериментами я стараюсь выяснить лишь одно: «Способны ли другие участки мозга взять на себя рабочую функцию повреждённых и как этого перераспределения добиться?» Пока получается. Результаты есть. И они вполне позитивные, ведь, под моим телом не кровать, не инвалидная коляска, а скамья для жима в тренажёрном зале.
Специального медицинского образования не имею, но за годы своей вынужденной реабилитации набрался такого опыта, что теорию, как говорится, можно просто приложить.
На вопрос: «Как ты себя чувствуешь?» я всегда отвечаю одной и той же избитой фразой: «Лучше всех!». Со временем я научился не акцентировать своё внимание на своём самочувствии. Ну, хреново. Ну, отойду в сторону, чтобы приливы нежности моего, поклёванного инсультами, мозга слегка минимизировались. Ну, возьму себя очередной раз в руки, чтобы никто со стороны и не догадался о моём реальном физическом состоянии… Не привыкать... Всё по Протоколу…
Ведь, самое главное – это не жалеть себя. Не делать себя узником постигшего недоразумения. Именно недоразумения. Потому что инсульт – это не приговор. Это всего лишь физическое состояние, которое делает жизнь человека на порядок сложнее и проблематичнее. Внутреннюю же силу, так называемую силу воли, инсульт не деформирует. Здесь всё в руках самого человека. Говорят же, за счастье нужно бороться. Так и здесь. За относительно нормальное физическое состояние нужно тоже бороться. Надо просто научиться постоянно переступать через себя, через своё «не хочу», «не могу». Не искать чудесного исцеления извне, а включать в этот процесс свои внутренние резервы. А они есть у каждого человека. Надо только правильно расставлять приоритеты и, не сворачивая, идти к конкретной цели. И помощь спорта в данном случае просто неоценима.
Я стараюсь не выбиваться из своего распланированного графика и тренируюсь шесть раз в неделю. Сложно даже представить, как я заставлял себя проводить тренировки после первого инсульта, когда не было ни координации, ни ориентации в пространстве. Да и сейчас их, кстати, иногда приходится усиленно искать в своём мозгу. Так вот, казалось бы, простейшее по технике упражнение – жим лёжа. Но гриф в руках «гулял» так, что приходи кума глядеть. Со стороны весьма забавно это выглядело. Я с такой опаской по началу навешивал блины. Потом как-то втянулся. Забавность исчезла. И даже пошли результаты. Мои, конечно, результаты, но они пошли.
Меня часто спрашивают, мол, крещённый ли я? Почему я акцентирую на этом вопросе внимание, читая дальше, будет понятно. Так вот, если считать, что неразумное малое дитя, без его согласия окунули, замочили, ну в смысле, искупали в купели, то тогда «да», крещёный. Процедура, ведь, не нарушена. Мне это немного напоминает действия с душевно больными, у которых разрешение на определённого рода действия никто не спрашивает. Есть душеприказчик. Он и «рулит» всеми ситуациями. В моём случае такими душеприказчиками были мои родители. Известная фраза «в трезвом уме и твёрдой памяти» была тогда не для меня. А так, по жизни я атеист. Не приверженец древне-еврейского фольклора. Религию воспринимаю лишь как часть всемирной мифологии. На что мне эти же дружелюбные интересанты всегда задают один и тот же вопрос, как по шаблону: «А как же, например, сходить в церковь, попросить здоровья у иконы какого-нибудь Святого? Для тебя это было бы не лишним». Всегда отвечаю на чистоту. Просить здоровья у какой-то там расписной дощечки - для меня это было бы как-то кощунственно. Я знаю главное, если самому над собой не работать, а просто целовать лаковое покрытие, надеясь на великое чудо, то толку никакого не будет. Ну чмокну я лик Пантелеймона Целителя, там Матроны Московской, Николая Чудотворца или Богородицы. И что? Свершится чудо? Да вряд ли. По крайней мере, этим никогда не занимался и реальных результатов подтвердить не могу.
Повторюсь, инсульт – это не приговор. Особенно, когда дома всё делаешь сам (ведь, домашнюю суету ещё никто не отменял): и порядок навести, и постираться, и вещи погладить, и в магазин за продуктами сходить, и поесть себе, в конце концов, приготовить, то про «приговор» можно забыть. Я, кстати, даже немного благодарен судьбе, что так всё в моей жизни неожиданно произошло. Что очередной «проблеск в мозгу» мне пришлось перенести одному и, как говорят медики, «на ногах». Не буду, кончено же, вдаваться в подробности своей личной жизни, но скажу лишь главное. Если б я был бы не один, если б рядом со мной был бы близкий и любимый человек, вполне возможно, что я внутренне расслабился бы. А так, когда каждый день приходилось и приходится рассчитывать только на самого себя, на свои силы, на свои возможности и не обращать внимания на периодически возникающие слабости, то это только к лучшему и как бы кощунственно это не звучало - это своего рода определённый путь к исцелению, как тренировки в зале… Ведь, главное, повторюсь: не расслабляться, не раскисать, и, тем более, ни в коем случае не жалеть себя, а работать над собой ежедневно, ежечасно и ежеминутно.
А сила воли творит чудеса. Испытано на себе…
Надеюсь, в дальнейшем вопросы по типу того, а почему этот, перенёсший инсульты инвалид, занимается в тренажёрном зале, да ещё умудряется тренировать и других, больше возникать не будут. Я был предельно честен в своих разъяснениях и пояснениях. Никому и никогда, естественно, не пожелаю познакомиться с инсультами и их последствиями, потому что это «близкое знакомство» весьма проблематично для нормальной жизни.
Всем желаю только отменного здоровья. И будьте все счастливы! Берегите себя! Берегите своих любимых и своих близких! И даже, если любимые и близкие не отвечают взаимностью, такое, как ни странно, иногда бывает, всё равно берегите их. Не делите порцию внимания и порцию своей заботы на доли и части, мол, я – тебе, ты – мне. Будьте иногда выше всех своими чистыми помыслами и бескорыстными действиями… А инсультик вам это зачтёт, он будет равнодушен к вам и обойдёт вас стороной. Хотя, как сказать… Частенько именно добрейшей души люди оказываются в зоне поражения и в зоне реального риска (из личных наблюдений).
Сергей Стрельцов
Последние новости
Какие меры безопасности нужно соблюдать при ремонте частотных преобразователей?
Безопасность при ремонте частотных преобразователей: основные правила и рекомендации.
Приглашаем на вебинар на тему «Обязанность граждан по декларированию доходов»
Это архивная публикация - она может содержать устаревшую информацию.

О запрете приватизации земельных участков, расположенных в пределах водных объектов и их береговой полосы
Согласно статье 6 Водного кодекса Российской Федерации, береговая полоса – это полоса земли вдоль береговой линии водного объекта, ширина которой по общему правилу составляет двадцать метров.
Куда пойти с детьми в Уфе: 10 весёлых мест на выходные
Идеи для семейного отдыха в столице Башкортостана — от активных игр до познавательных музеев